Inicio Más Curiosidades Confirmado: El cerebro de los hombres envejece más rápido

Confirmado: El cerebro de los hombres envejece más rápido

0
Foto: Archivo

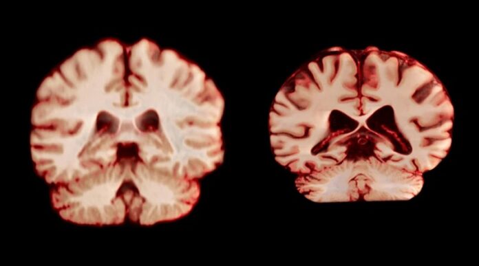
Un nuevo estudio publicado en la revista Nature sobre las implicaciones que las diferencias de género en el envejecimiento cerebral tienen en el alzhéimer revela que los hombres experimentan una mayor reducción de volumen en más regiones del cerebro que las mujeres.

Esta patología afecta a casi al doble de mujeres que de hombres. En este sentido, los expertos aclaran que los cambios cerebrales relacionados con la edad no explican el porqué de esta proporción.

Si estos cambios tuvieran alguna influencia en el desarrollo de la enfermedad, el estudio habría demostrado que las mujeres experimentan un mayor deterioro en las áreas asociadas con la misma, como el hipocampo y el precúneo, que intervienen en la memoria, afirmó la investigadora clínica en salud cognitiva de la Universidad Monash de Melbourne, Australia, Amy Brodtmann.

¿Cómo se llevó a cabo el estudio?
Durante la investigación se reunieron más de 12.500 escáneres cerebrales de participantes de entre 17 y 95 años, recopilados a lo largo de los años. Cada individuo se sometió al menos a dos resonancias magnéticas cerebrales, con un intervalo medio de aproximadamente tres años entre ellas.

Tras examinar las diferencias de tamaño cerebral basadas en el sexo, el equipo descubrió que los hombres mostraban un deterioro en un mayor número de regiones cerebrales, incluidas muchas partes de la corteza, a edades más avanzadas. Estos hallazgos evidencian que la mayor prevalencia de diagnósticos de alzhéimer en las mujeres probablemente se deba a factores que van más allá de las tasas diferenciales de atrofia cerebral relacionada con la edad.

La neuropsicóloga clínica de la Universidad de Sídney, Australia, Fiona Kumfor, detalló que los resultados indican que los hombres envejecen más rápido que las mujeres y tienen una esperanza de vida más corta.

Fuente: RT